Real Smiles. Real Results. Real Confidence.
Every smile in our gallery tells a story of a patient who walked in feeling self-conscious and left feeling unstoppable. At Magnum Dental Clinic Dubai, we don't just restore teeth. We restore the confidence to laugh freely, speak boldly, and smile without hesitation.
Browse our before-and-after smile transformations and see firsthand what's possible when artistry meets advanced dentistry.


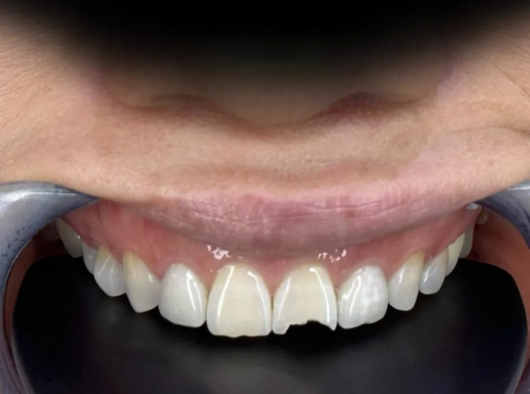
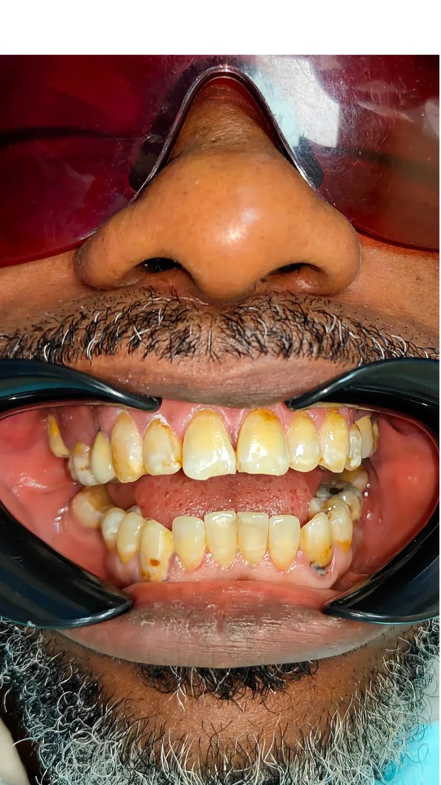
Before
After


Before
After


Before
After


Before
After


Before
After


Before
After


Before
After


Before
After
Need Dental Services?
+971 54 336 3340Opening Hours
Mon - Sat: 09 AM - 10 PM
What our patients say
See what our patients have to say about their dental care experience.
Highly recommend Dr Shreya pediatric dentist. She did great job - broken tooth extraction without tears. The whole process was smooth, professional with kindness and patience for my little boy. She truly cares about his comfort and happiness. X ray was explained in details before and after extraction to make sure treatment is done properly. Many gifts and photos to make my child feel confident and overcome fear. Thank you very much to everyone in Arjan clinic. Happy to visit again.
Gorica Ristic
I did teeth whitening here, so happy with the results. Dr shreya is the best, she has been so patient with me. I felt more pain, so she did in diff session and was so caring and nice. Thank you very much.
Sana Mafiya
My daughter had fallen and her front tooth was bleeding so we rushed to Magnum. My family friend recommended Dr. Shreya. She was truly excellent, very gentle, professional & by far one of the best pediatric dentists we met. Thank you Magnum!
Mohammed Shijaz
Highly recommend Dr Shreya pediatric dentist. She did great job - broken tooth extraction without tears. The whole process was smooth, professional with kindness and patience for my little boy. She truly cares about his comfort and happiness. X ray was explained in details before and after extraction to make sure treatment is done properly. Many gifts and photos to make my child feel confident and overcome fear. Thank you very much to everyone in Arjan clinic. Happy to visit again.
Gorica Ristic
I did teeth whitening here, so happy with the results. Dr shreya is the best, she has been so patient with me. I felt more pain, so she did in diff session and was so caring and nice. Thank you very much.
Sana Mafiya
My daughter had fallen and her front tooth was bleeding so we rushed to Magnum. My family friend recommended Dr. Shreya. She was truly excellent, very gentle, professional & by far one of the best pediatric dentists we met. Thank you Magnum!
Mohammed Shijaz
Staff and receptionist were so friendly. I had a deep clean and teeth whitening. I was very happy with the quick service and level of professionalism. Overall a great experience and reasonable prices!
Mohammed Shijaz
Consulted Dr shruti for dental issue. Had great experience. Handled with proper care and patience. Highly recommend for others.
Akilan Raju
Dr Ashwin made me feel extremely comfortable throughout the sessions for my Root Canal and crown, can’t thank him enough, amazing!
Bilaal Ajaib
Staff and receptionist were so friendly. I had a deep clean and teeth whitening. I was very happy with the quick service and level of professionalism. Overall a great experience and reasonable prices!
Mohammed Shijaz
Consulted Dr shruti for dental issue. Had great experience. Handled with proper care and patience. Highly recommend for others.
Akilan Raju
Dr Ashwin made me feel extremely comfortable throughout the sessions for my Root Canal and crown, can’t thank him enough, amazing!
Bilaal Ajaib
Had a great experience at Magnum Dental Clinic Dr shruti was very professional and gentle. The staff was friendly and the clinic was super clean. Highly recommended!
ani aznaurashvili
Its my first time at the clinic. DR. Jaya was extremely patient and did a thorough cleaning and consultation.
Rashmi Singh
Dr. Sathvica did a very good job in cleaning, she is very light handed and professional.
Manideep Mvs
Had a great experience at Magnum Dental Clinic Dr shruti was very professional and gentle. The staff was friendly and the clinic was super clean. Highly recommended!
ani aznaurashvili
Its my first time at the clinic. DR. Jaya was extremely patient and did a thorough cleaning and consultation.
Rashmi Singh
Dr. Sathvica did a very good job in cleaning, she is very light handed and professional.
Manideep Mvs